Willkommen bei Ihren Radiologen in Karlsruhe und Durlach
Ihre Radiologen in Karlsruhe und Durlach ist der Zusammenschluss der radiologischen Praxen im Zeppelinzentrum Karlsruhe und in der Grötzinger Straße in Durlach.
Unsere Praxis in Zahlen
2
2 Standorte in Karlsruhe und Durlach mit modernster Technik ausgestattet und für Patienten gut erreichbar.
5
5 moderne MRT Geräte für präzise und schnelle Diagnose
16
Kompetenz von 16 erfahrenen Radiologen für eine professionelle Versorgung der unseren Patienten
70
70 Mitarbeiter* Innen bestehend aus MTRA , MFA. Ein freundliches und engagiertesTeam, das sich bestens um die Patienten kümmert.Unsere spezielle Leistungen für Sie *
Kardio CT

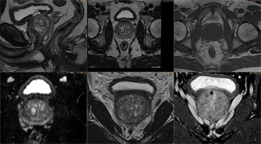
Prostata MRT

* Bitte beachten Sie dass diese Untersuchungen nicht zum Leistungkatalog der gesetzlichen Krankenkassen gehören.








